Coxartrosi
La cartilagine articolare ridotta di spessore crea un attrito maggiore, il quale a sua volta è responsabile dell'infiammazione.
Il versamento articolare (gonfiore) tende la capsula articolare e crea il dolore.
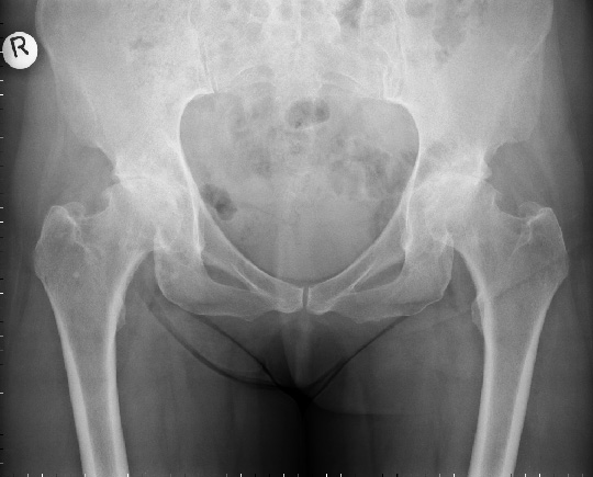
Oltre all'esame clinico servono per la diagnosi delle radiografie dell'anca

Solo in casi rari bisogna ricorrere ad una risonanza magnetica.
L'intervento chirugico può essere eseguito in anestesia parziale oppure totale. La decisione finale verrà presa dall'anestesista dopo la sua visita.
La durata dell'intervento varia tra un ora e mezza e due ore.
Esistono due tecniche per l'approccio chirugico all'anca: uno „tradizionale“ e uno mini-invasivo (MIS = Minimal Invasive Surgery).
Il vantaggio della chirurgia mini-invasiva stà in un recupero post-operatorio più rapido, questo è possibile grazie alfatto che i tendini ed i muscoli sono protetti durante la procedura chirurgica.
A lungo termine i risultati sono uguali tranne che per la lunghezza della cicatrice (circa metà).
Una protesi articolare è composta da uno stelo femorale di solito in titanio, una coppa acetabolare anch'essa in titanio. La testa femorale e l'inlay sono disponibli in metallo, polietilene oppure ceramica.

A seconda della qualità ossea le componenti possono essere cementate o non.
La degenza in clinica varia tra 10 e 15 giorni.
Con la chirurgia MIS le stampelle vanno portate in media per tre settimane in carico totale, con il metodo tradizionale sei settimane in carico parziale.
Nella fase post-operatoria la fisioterapia si occuperà della scuola di marcia e del rinforzo muscolare.
Un esempio e una radiografia di una protesi totale del'anca


informazioni generali Artrosi
maggiori informazioni Artrosi del ginocchio