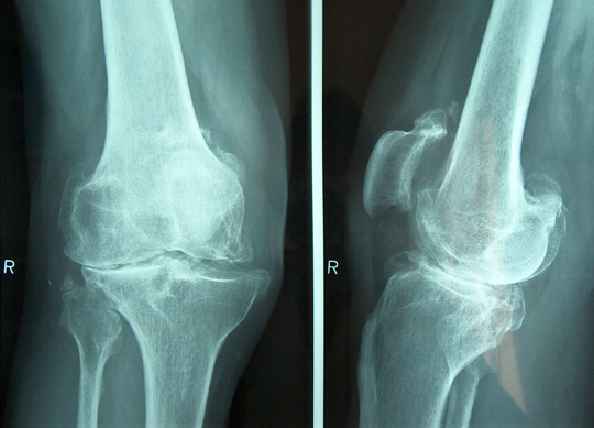
Osteoarthrits of the knee
The knee joint is dived into a medial and lateral compartment.
According to the amount of cartilage loss osteoarthritis may lead to an axial deviation of your leg into varus (O shaped) or into valgus (X-shaped).
A third compartment is between the femur and the patella.
Clinical examination and weight-bearing X ray will determine the diagnosis.

MRI scan is rarely required.
Total knee arthroplasty is indicated for end stage arthritis associated with pain, disfunction and stiffness when non-operative measures have failed.
A knee replacement surgery is performed under general or regional anesthesia as determined by you and the anesthesiologist.
Surgery takes about 90 to 120 minutes.
Surgical procedure involves replacing the arthritic surfaces of the knee with metal and plastic implants.
A total knee arthroplasty is composed of a femoral cap, a tibial tray and an insert made of polyethylene.


Fixation of the componets can be achieved with or without bone cement.
Hospital stay is between 10 and 15 days.
You will walk with two crutches for three to four weeks.
A physical therapist will help you to mobilise your knee, how to walk and get up and down stairs.
X ray and example of an implanted total knee arthoplasty.


An unicompartmental knee arthroplasty is a partial knee replacement, it only resurfaces the one compartment (medial or lateral) of the joint that is arthritic

Indication is isolated osteoarthritis of either the medial or lateral compartment.
The advantage of this procedure is that surgery is less than a total knee arthroplasty and recovery is faster.
general info OA
more info OA of the hip